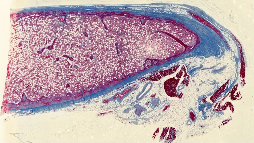
Costa di adulto. Colorazione: Azan-Mallory
Descrizione
Sezione trasversale di una costa di adulto.
Colorazione: Azan-Mallory.
Vetrino istologico - insegnamento Istologia ed Embriologia.
Data:
2017Formato
image/jpeg (150.18 MB)








